
美しく健康的な笑顔は口元から

『歯を白くしたい』
『銀歯を目立たなくしたい』
『歯をキレイにしたい』
このようなご要望を叶える事が出来るのが
審美治療です。
審美治療とは、数ある治療方法の中でも
見た目を美しくする事に重点を置いた治療です。
例えば、銀歯を白く透明度の高いセラミック素材に
取り替えることや薬剤で歯を白くするホワイトニングなど、
歯の見た目をキレイにすることができます。
セラミックのメリット・デメリット
メリット
・審美性に優れている
・経年劣化しにくい
・金属アレルギーの心配がない
デメリット
・健康保険が適用されない
・他の歯への負担
・高度な技術が必要
オールセラミック
メリット
・セラミックだけを使用しているので、内側を透過せ
ず、透明感が高く周りの歯と色調を合わせやすい
・金属を使用していないので、歯ぐきが黒ずむ心配がな
く、金属アレルギーのリスクもない
・ジルコニアと比べると、費用を抑えることができる
・唾液の吸収がないため、口臭の心配がなく汚れ
(プラーク)も付きにくい
デメリット
・ブリッジにする場合には歯が無い部分もカバーする必要
がある
・しかし、オールセラミックは歯がないダミーの部分に力
がかかると割れてしまうリスクがあるので、ブリッジに
は不向きな素材
・保険適用外のため値段が高い
・天然の歯より硬いため、周囲の歯や噛み合う歯を痛める
ことがある
ホワイト二ングのメリット・デメリット
メリット
・歯が白くなることで、見た目に自信が持てるようになる
・健康な歯を削ることがない
デメリット
・ホワイトニング効果は永久ではないため、コーヒーやお茶、タバコといった食べ物、飲み物、嗜好(しこう)品によって再着色してしまう
・元の歯の色や質といった影響で、期待した効果が得られないこともある
・ホワイトニングを避けた方が良い人や、適さない歯があるため、誰もが受けられるわけではない
セラミック治療
名前の通り、『セラミック』素材を用いて歯を白くする方法です。
一概にセラミックと言っても様々な種類がありますので、銀歯や失ってしまった部分であっても自然歯に近い色調のセラミックを使用し治療することから、天然歯と変わらない自然な白い歯を取り戻すことができます。
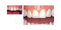
セラミック治療事例

天然歯とほとんど見分けのつかない配色のセラミックで修復。

歯がかけたり、歪んでしまった歯もセラミックベニアで見た目を美しく修復。

噛み合せも悪く虫歯になってしまっている歯もセラミッククラウンで見た目を美しく回復。
クリーニング

当院では歯科衛生士が専用器具を使って、歯と歯の間や歯ぐきの汚れを取り除くクリーニングを行っています。見た目の美しさばかりでなく、クリーニングによって歯肉炎の改善に努めています。
さらに、表面をツルツルにみがいて、プラークが再付着するのを防ぐほか、着色を除去して白く光沢のあるキレイな歯を維持する効果もあります。
ホワイトニング
ホームホワイトニング
頻繁にクリニックに通わなくても簡単に歯を白くできる治療方法です。
当院にて口腔内を綺麗に清掃し、患者さまごとのマウスピースを作成します。
その後ご自宅にて、マウスピースにホワイトニングジェルを入れて2時間程度装着します。
歯の状態にもよりますが、約2週間程度行うことにより歯が白くなります。
オフィスホワイトニング
クリニックにて照射器をあて、歯を白くできる治療方法です。
当院にて口腔内を綺麗に掃除し、歯科衛生士が治療を行っていきます。
ホームホワイトニングに比べ短期間にて歯を白くすることができます。



